
【記者 呂宗岳/台中報導】
氣溫驟降,心血管疾病患者務必提高警覺。臺中一名 66 歲許姓男子今年初遭遇寒流來襲,清晨起床時僅覺得有些頭暈,認為只是天冷造成不適,仍照常前往教堂。沒想到教友發現他走路明顯不穩,休息後仍未改善,緊急送醫後竟確診為腦幹梗塞性腦中風。所幸搶在黃金時間接受中風團隊的一站式治療,歷經兩個月復健後順利出院,目前持續門診追蹤。
衛生福利部臺中醫院神經內科醫師吳宇軒表示,許男是虔誠基督徒,外型高壯,雖有高血壓、高血脂等三高病史,但長期飲食清淡並固定登山健行,自認身體狀況良好。去年退休後更積極投入教會志工,從課輔到戶外教學樣樣參與,是教會學子的精神支柱,沒想到一場寒流讓健康亮起紅燈。

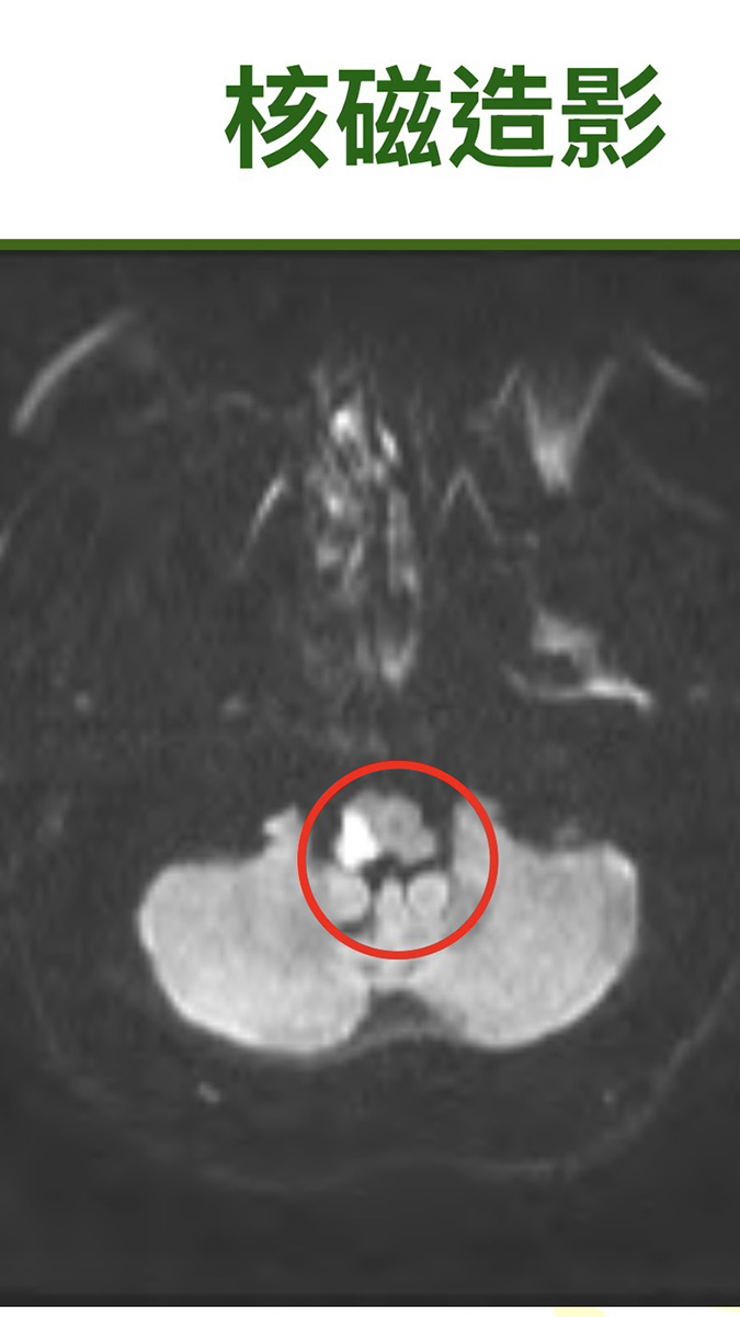
吳醫師指出,患者到院時並無民眾熟知的「臉歪嘴斜、半邊無力、言語不清」等典型中風症狀,只呈現走路不穩。理學檢查顯示四肢無力與視覺問題均正常,但小腦功能測試發現右側距離感辨識異常,因此研判可能為小腦或腦幹中風。進一步核磁共振檢查確認,其腦幹右側及延腦外側出現梗塞。
所幸梗塞範圍不大,啟動院內腦中風團隊後立即給予抗血栓藥物治療,症狀逐步改善。一週後轉入復健病房,並同時接受中醫針灸輔助治療。歷經約兩個月積極復健後順利返家,現階段生活功能穩定。
吳宇軒表示,每年秋冬交替,門診腦中風相關患者約增加兩成。依衛福部資料,腦血管疾病為國人十大死因第 4 名,僅次於癌症、心臟疾病與肺炎,每年奪走上萬條生命。許多患者初期症狀輕微、容易被誤認為疲勞或姿勢不良,延誤治療時機,後果可能難以挽回。
他提醒,近期日夜溫差大,三高患者務必按時服藥,出門時也應做好保暖,避免冷空氣使血管劇烈收縮,提高中風風險。也呼籲民眾熟記腦中風口訣「BEFAST」:突然失去平衡(Balance)、視力模糊或複視(Eyes)、臉部不對稱(Face)、手腳無力(Arms)、言語不清(Speech),若出現上述任一症狀,務必立即記下發病時間(Time),並儘速就醫,才能把握 4.5 小時內的血栓溶解黃金治療期。
